矯正治療

矯正用インプラントアンカーの費用は症例により異なりますのでご相談ください。

院長の基本理念

矯正治療は治療期間が長いと思っている方へ。

当院の矯正治療は、装置をできるだけ少なくし、最も適したな時期のみに行い、治療期間をできるだけ短くすることにより、患者様の負担を少なくするよう努めています。実際に装置をつけている期間を、できるだけ短くするように心がけております。あまりにも早くからいろいろな装置をつけたりはしません。

また患者様に協力してもらわなければならない、取り外しの出来る装置は極力少なくします。矯正相談したら先生によって治療方針が違うので、迷っている方へ。患者さんによっては確かに、歯を抜くとか抜かないとか、先生によって治療方針が異なることがあります。セコンドオピニオンでもサードオピニオンでも構いません。心配なことがあればいつでもご相談ください。いろいろな先生の意見を聞いてみるのもよいと思います。

 

歯科矯正用アンカースクリューを用いた矯正治療・・・矯正の固定源として使うインプラントは歯科矯正用アンカースクリューと呼ばれ、歯の抜けたところに埋め込むデンタルインプラントとは異なり、短くて小さいもので、埋め込むのも非常に簡単です。また矯正治療が終われば、麻酔なしで簡単にはずせます。当院ではすべてのインプラント症例にCT撮影とガイドを作成して手術を行っております。 当院では矯正用の細くて小さいインプラント(歯科矯正用アンカースクリュー)を固定源に使うことにより、歯を抜く確率を減らせたり、出来るだけヘッドギア-を使わないで治療できるようになりました。当院では、歯を引っ張る固定源として2001年頃から、アンカースクリューを用いてきました。そして2005年には、矯正学会とインプラント学会にて発表いたしました。

従来歯を抜いて矯正治療する時に、奥歯と前歯で綱引きをするのですが、どうしても奥歯も前にきてしまいます.日本人は白人に比べると下あごの角度がきつく、がたがたの量も多いのでヘッドギア-という帽子をかぶったり、上あごと下あごの間にゴムをかけたりして、患者様に協力してもらわなければならないことが多かったのです.ところがアンカースクリューから前歯を引っ張ると、アンカースクリューは動きませんので、確実に前歯を動かせるようになったのです.また本来なら歯を抜かなければ矯正治療できないケースでもアンカースクリューを用いることにより抜かないで治療できたものもあります。

 当医院の治療基本方針として患者様にできるだけ負担をかけないようにしております。すなわち観察期間は長くても、実際に装置をつけ始める時期をよく見きわめ、よい開始時期がきたらすぐに装置をつけて治療し、出来るだけ早くはずします.つまり良い時期に、できるだけ少ない装置で治すのがが良いと考えております。あまりにも早くからいろいろな装置をつけたりはしませんし、患者様に協力してもらわなければならない、取り外しの出来る装置は極力少なくします。当医院での治療期間は歯を抜かないケースで約1年以内、歯を抜くケースでも1年半~2年半ぐらいです。 

 矯正装置も金属製、目立ちにくいプラスチックやセラミック製、そして全く見えない舌側矯正装置(歯の裏側につけるもの)が選択できます。

一般治療の患者様も、後に矯正治療をする可能性のある方は矯正の診断を考えた上で、治療をすすめていきます。

当院のホームページは日本矯正歯科学会のホームページ倫理審査に合格しております。 

矯正歯科 治療 に伴う 一般的な リスクや副作用 についてはすべてまとめてこのページの最後にも書いてあります。

ここに載っている写真は、すべて患者様に掲載の同意を得ております。

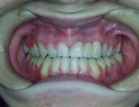
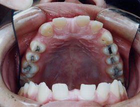
主訴:上下の歯のガタガタ、上の前歯が出っ歯。横顔もひっこめたい。診断名:上顎前歯の前突を伴う上下叢生。15歳。前歯は透明,奥歯は金属製のエッジワイズ装置にて治療。上下左右、前から4番目の歯を4本抜いて治療しました。矯正治療では最も一般的な症例です。治療期間2年2か月。治療費:矯正料670000円 調整料 2000円~5000円が約26回。矯正治療では治療後に歯根吸収(歯の根が短くなること)というリスクがあります。これは必要以上に歯に無駄な動きを与えたり、治療期間が長引くときにおこりやすいと考えています。歯根吸収は前歯におこりやすいです。したがって、当院では前歯のガタガタが大きい場合は、まず犬歯(糸切り歯)を先に後ろに動かして、前歯のガタガタが自然にほどけてきてから初めて前歯に装置をつけるようにしています。また下の前歯のガタガタがもともと大きかったので、後戻りの可能性もあります。そこで前歯の裏をワイヤーで留めています。また歯を抜いてそれを閉じた部位(前から4番目の歯)に隙間が出てくるリスクもあります。そこで取り外し式のリテーナーもしっかりとはめていただいています。

主訴:歯の凸凹を治したい。被せも白色を希望。診断名:上下叢生。年齢36歳。前歯は透明,奥歯は金属製のエッジワイズ装置にて治療。歯は抜いていませんが、少し削って細くしています。治療期間1年。治療費:矯正料670000円 調整料 2000円~5000円が約12回。リスクと副作用:歯を抜かずに並べているので後戻りの対策として裏からの固定が必要です。歯茎も腫れやすい性質なので、定期検診が重要となります。

主訴:歯のガタガタ(特に下の前歯)を治したい。できれば歯を抜きたくない。診断名:上下前歯部叢生。43歳。前歯は透明,奥歯は金属製のエッジワイズ装置にて治療。歯は抜いていませんが、特に下の歯はできるだけ多くの歯を削って細くしています。治療期間1年2か月。治療費:矯正料670000円 調整料 2000円~5000円が約14回。歯を抜かずに歯並びのガタガタをとる症例としてはガタガタの量が最も大きい症例だと思います。この患者さんは横顔がきれいで、口元が出ていなかったので、この方法をとることができました。奥歯の後ろの余裕を作るために、下の親知らずだけは抜いています。もともとガタガタが大きいので、後戻りの可能性も高くなるので、前歯の裏をワイヤーで留めています。取り外し式のリテーナーもしっかりとはめていただいています。ストリッピング(歯を削ること)をしすぎると知覚過敏が出ることがあるので、できるだけ多くの歯に分散して少しづつ慎重に削りました。

主訴:上の前歯が出っ歯。横顔もひっこめたい。診断名:上顎前歯の前突を伴う上顎前突。29歳。前歯は透明,奥歯は金属製のエッジワイズ装置にて治療。普通なら上の前から4番目の歯を左右、合計2本抜いて前歯をひっこめる治療をします。ところがこの方はすでに上の親知らずを左右共に抜いていました。そこで、全く歯を抜かずに上の歯全体を後ろにひっこめる治療を計画しました。上顎の真ん中に歯科矯正用アンカースクリューを立てて、そこの器具から上の歯すべてを後ろに引っ張ると言う、とてもチャレンジングな治療方針です。治療期間1年11か月。治療費:矯正料 770000円 調整料 2000円~5000円が約23回。この症例ではどうしても歯が後ろに傾斜して動く可能性が高く、それは後戻りの可能性が高いということになります。そこで、通常の上の前歯に貼り付けるワイヤーの固定装置、取り外しできるマウスピースだけでなく、上顎のアンカースクリューやその器具も外さずに保定装置として付けたままにしております。この治療は上顎のアンカースクリューがしっかりと骨に引っ付くことによりなし得る治療方法です。人によってはこのアンカースクリューが引っ付かないことがまれにあります。

歯のがたがたが大きく横顔も出ている方を舌側矯正で改善した症例

この症例は平成11年発行の近畿東海矯正歯科学会誌34巻第1号に掲載されました。

上あご、下あごの写真はすべてミラーを使っているので左右逆に見えます。




まるで手術をしたかと思うほど、横顔がすっきりとしました。






治療中の上下の写真です.この症例では下あごの左右の親知らずが傾いて引っかかっていましたが、歯を抜いて治療することによって、スペースが出来てきたので、親知らずを起こして使うことができました。


主訴:上下の歯のガタガタ、上下ともに前歯が出ている。横顔もひっこめたい。診断名:上下の叢生を伴う、上下顎前突。22歳。歯の裏に装置を貼る舌側矯正装置。表からは見えません。上下左右、前から4番目と5番目の歯8を本抜いて治療しました。特殊なケースです。治療期間2年10か月。治療費:矯正料 1.200.000円 調整料 2000円~5000円が約34回。小臼歯を8本も抜いたかわりに、親知らずを4本とも抜かずに使うことができました。しかし前に傾いて引っかかっている親知らずを起こしたり、微調整が難しい裏からの矯正治療だったので、治療期間が延びてしまいました。犬歯のすぐ後に大臼歯が来ることになる歯並びに苦言を呈する考えもありますが、長期的に見て機能的には問題は起きておりません。これは1992年の症例です。当時はまだアンカースクリューを固定にする矯正治療という発想がありませんでした。矯正治療で小臼歯を抜くと、この症例のように親知らずを抜かずに済むケースもあります。ただし小臼歯を抜いても、さらに親知らずを抜いたほうがよい症例もあります。

あごの角度がきつくてもアンカースクリューを使ってヘッドギア-なしで治した症例

この症例は2005年6月12日 第47回近畿東海矯正歯科学会(名古屋市)、および2005年7月24日 日本口腔インプラント学会第25回近畿北陸支部大会(金沢市)にて発表しました。

また「ミニインプラントを固定源に用いた矯正治療」として、大阪口腔インプラント研究会雑誌 第21号 16-28, 2006年に掲載されました。






あごの角度がきついので、前歯が入らずに奥歯が前に来てしまい、せっかく歯を抜いたスペースを有効に使うことが出来ません。かといって24時間ヘッドギアーをしてもらうわけにもいきません。

そこで全く動かないアンカースクリューから前歯をひっぱりました。犬歯と奥歯の後ろに見えるのがアンカースクリューです。


主訴:上の前歯が出っ歯。下の前歯がガタガタ。上下の前歯が噛み合わない。横顔もひっこめたい。診断名:上下前歯部開咬を伴う上顎前突。15歳。歯の表に貼る金属のエッジワイズ装置。上の左右、前から4番目の歯、下は右下4番目左下5番目の歯合4本抜いて治療しました。特殊なケースです。治療期間2年2か月。治療費:矯正料 700000円 調整料 2000円~5000円が約26回。2003年に行ったアンカースクリューを用いた矯正の初期のころの症例です。当時は上顎の歯の近くにアンカースクリューを埋め込んでいました。リスクとしてはアンカースクリューが引っ付かない性質の骨もあるということです。この場合はうまく引っ付きましたが、引っ付きにくい性質の骨の患者さんもいらっしゃいます。そのような人も上顎の真ん中に埋め込むアンカースクリューなら引っ付く可能性は高くなります。この症例は横顔を見た時に下あごの下向きの角度がきつい症例で、どうしても後戻りの可能性が高い症例です。また前歯が開いてくる後戻りの可能性も高くなります。

矯正用アンカースクリューを使うことによって歯を抜かずに治せた症例

この症例は2005年6月12日  第47回近畿東海矯正歯科学会(名古屋市)、および2005年7月24日    日本口腔インプラント学会第25回近畿北陸支部大会(金沢市)にて発表しました。また「ミニインプラントを固定源に用いた矯正治療」として、大阪口腔インプラント研究会雑誌 第21号 16-28, 2006年に掲載されました。



この患者様はもうすでに上の親知らず(第3大臼歯)を抜いた後で当院に受診されました。

上の第二大臼歯の後ろには十分なスペースがあり、もし犬歯の後ろの歯(第1小臼歯)を2本抜いて矯正治療したら、上の第二大臼歯が今よりも前にきてしまい、歯のないスペースがさらに大きくなってしまいます。

そこで上の歯全体を後ろに引っ張ることが出来ればよいのですが、成人でお仕事もされているのでヘッドギアーを24時間かぶるわけにはいきません。写真の第2大臼歯の後ろに見えるのがアンカースクリューです。これから引っ張ることで、歯を抜かずに上の歯全体を後ろに引っ張ることが出来ました。

主訴:上の前歯が出っ歯。横顔もひっこめたい。診断名:上顎前歯の前突を伴う上顎前突。40歳。前歯は透明,奥歯は金属製のエッジワイズ装置にて治療。普通なら上の前から4番目の歯を左右、合計2本抜いて前歯をひっこめる治療をします。ところがこの方はすでに上の親知らずを左右共に抜いていました。そこで、全く歯を抜かずに上の歯全体を後ろにひっこめる治療を計画しました。とてもチャレンジングな治療計画です。このページの最初の方に載っている別の症例のように、今なら上顎の真ん中にアンカースクリューを植立するのですが、2001年当時はそのような発想がなく、上顎の最も後ろの歯のさらに後ろにスクリューを植立して、それから上の歯全体を引っ張りました。リスクとしては、スクリューの植立がとても狭い場所なので難しいことです。アンカースクリューに装着したの器具から上の歯すべてを後ろに引っ張ると言う、とてもチャレンジングな治療方針です。治療期間1年10か月。治療費:矯正料 770000円 調整料 2000円~5000円が約22回。この症例ではどうしても歯が後ろに傾斜して動く可能性が高く、それは後戻りの可能性が高いということになります。この治療は上顎のアンカースクリューがしっかりと骨に引っ付くことによりなし得る治療方法です。人によってはこのアンカースクリューが引っ付かないことがあります。

上下の前歯がかみ合わないのを舌側矯正で治した症例




歯を抜くことにより、上と下の歯がかみ合うようになり、また横顔も少し入りました。

歯の裏につける、表からは見えない装置で治療しました。

主訴:上下の前歯が噛み合わない。横顔もひっこめたい。診断名:上下前歯部開咬を伴う上下顎前突。20歳。歯の裏に貼り付ける舌側矯正装置(表からは見えない)。上下の左右、前から4番目の歯を4本抜いて治療しました。治療期間1年11か月。治療費:矯正料 1200000円 調整料 2000円~5000円が約23回。上下の前歯が噛み合わない(開咬)は舌や唇の筋肉のバランスが崩れている方が多いので、後戻りのリスクが高いです。きっちりとした固定、定期検診が必要です。

前歯がかなりすいているのを矯正とブリッジで治した症例


歯のスペースを閉じることにより横顔もかなり入りました。


唇の筋肉が弱いので上も下もかなりスペースがあいていました。それに加えて上の歯は左上の前歯が1本少ない症例でした。


上は歯が1本少ないところにスペースを集めて、ここに保険のきくブリッジを入れました。


下はすべて自分の歯でスペースを閉じました。

上下ともに、後戻り防止用のリテーナーを歯の裏に貼っています。

主訴:上下の前歯に隙間が開いている。横顔もひっこめたい。診断名:上下前歯部空隙歯列。19歳。前歯は透明,奥歯は金属製のエッジワイズ装置にて治療。。治療期間2年6か月。治療費:矯正料 670000円 調整料 2000円~5000円が約30回。上下の前歯が開いているうえに、前歯の本数が少ない。隙間が空いているというのは、唇の圧力が弱く、舌の圧力に負けていることが考えられます。つまり舌や唇の筋肉のバランスが崩れているので、後戻りのリスクが高いことです。きっちりとした固定、定期検診が必要です。この方は真面目に定期検診に来られているので、後戻りしておりません。

元、歯科助手 トリートメントコーディネーター 黒崎 祥子

 

 

 

 

元、歯科助手 

トリートメントコーディネーター

(結婚のため退職しました。)

          黒埼 祥子


 

(矯正治療をしていましたが2004年12月ついに装置をはずしました。治療中も透明な装置なのでほとんど目立ちませんでした。)


上あごは犬歯の後ろの歯(第一小臼歯)を2本抜きました。下あごは奥に埋もれていた親知らずだけを抜いて、小臼歯は抜かずにあごの幅を広げて治しています。

2003年1月

2004年12月





 

 

 

 

矯正治療後のスマイル

上だけ歯を抜いて治療しましたが1年11ヶ月で

治療が終わりました。


主訴:上下の歯のガタガタ、上の前歯が出っ歯。診断名:上顎前歯の前突を伴う上下叢生。22歳。前歯は透明,奥歯は金属製のエッジワイズ装置にて治療。上の左右、前から4番目の歯を2本抜いて治療しました。治療期間1年11か月。治療費:矯正料 670000円 調整料 2000円~5000円が約23回。上顎は矯正治療では最も一般的な症例です。下は本来なら抜歯を考えるくらいのガタガタの量ですが親知らずを抜いて歯列を少し広げて、何とか歯を抜かずに治した症例です。抜かずに顎を少し広げて治すと後戻りのリスクが高くなります。歯の裏からの固定や定期検診が重要です。

矯正歯科 治療 に伴う 一般的な リスクや副作用 について

① 最初は 矯正装置による不快感、痛み等 があります 。 数日間 1 、 2 週間 で慣れ ることが多いで す 。

② 歯の動き方には 個人差 があり ます。そのため、 予想された 治療期間が 延長 する可能性が あります。

③ 装置の使用 状況 、顎間ゴム の使用 状況 、 定期的な通院等、 矯正治療には 患者 さんの協力が非常に重

要であり、それらが治療結果や治療期間に影響します。

④ 治療中 は 、 装置が付いているため歯が磨き にくくなります。むし歯や歯周病のリスクが高まります

ので、丁寧に 磨い たり、定期的な メンテナンスを受け たり する ことが重要です 。 また、歯が動くと

隠れていたむし歯が見えるようになることもあります。

⑤ 歯を動かすことにより 歯根 が 吸収 して短くなることがあります。また、歯ぐきがやせて下がること

があります。

⑥ ごくまれに歯が 骨 と 癒着 していて歯が動かないことがあります。

⑦ ごくまれに 歯 を動かすことで神経が 障害 を受けて壊死することがあります。

⑧ 治療途中に金属 等のアレルギー 症状が出ることがあります。

⑨ 治療中に「顎関節で音が鳴る、 あごが 痛い、口が開けにくい」などの顎関節症状が出ることがあり

ます。

⑩ 様々な問題により、当初予定した治療計画を変更する可能性があります。

⑪ 歯の形を修正したり、咬み合わせの微調整を行ったりする 可能性 があります。

⑫ 矯正装置を誤飲する可能性があります。

⑬ 装置を外す時に、エナ メル質に微小な亀裂が入る可能性や、かぶせ物(補綴物)の一部が破損 する

可能性 が あります。

⑭ 装置が外れた後、 保定 装置を指示通り使用しないと後戻りが生じる可能性が高くなります。

⑮ 装置が外れた後、現在の咬み合わせに合った状態のかぶせ物(補綴物)やむし歯の治療(修復物)

などをやりなおす可能性があります。

⑯ あご の成長発育によりかみ合わせや歯並びが変化する可能性があります。

⑰ 治療後に親知らずが生えて、凸凹が生じる可能性があります。加齢や歯周病等により歯を支えてい

る骨がやせるとかみ合わせや歯並びが 変化 することがあります。その場合、 再治療等 が必要になる

ことがあります。

⑱ 矯正歯科治療は、一度始めると元の状態に戻すことは難しくなります 。